Somos especialistas en ortodoncia estética, funcional e invisible tanto para niños como adultos. ¿Quiere corregir la mordida? mejore su salud bucodental. Elija entre brackets estéticos, alineadores invisibles o aparatos funcionales, le ayudamos a recuperar la confianza al sonreír.
Le ayudamos a elegir entre varios tipos de aparatos de ortodoncia adaptados a cada caso: brackets autoligables transparentes, alineadores invisibles y aparatos funcionales para niños. Estética, comodidad y eficacia para lograr los mejores resultados en el menor tiempo posible, con un presupuesto cerrado y sin sorpresas.
Empiece con una visita sin compromiso, haremos con estudio digital, radiografías 3D, fotografías y diagnóstico completo. Nuestros tratamientos incluyen todo lo necesario: colocación, controles, urgencias, retención y revisiones posteriores. Tratamos desde casos sencillos hasta ortodoncia compleja multidisciplinar.
Conozca el precio total desde el inicio, sin gastos extra.
Pague cómodamente mes a mes, sin intereses ni costes ocultos.
La ortodoncia sirve para el diagnóstico, prevención y tratamiento de los problemas de posición de los dientes y la mordida.
La ortodoncia no solo “endereza los dientes”; sus aportes abarcan varios planos de la salud y del bienestar:
En resumen, la ortodoncia es una inversión en salud integral: protege dientes y encías, optimiza la función y refuerza la confianza personal.
En Clínica Dental Cervera en Madrid somos expertos en los tratamientos de Ortodoncia, la Dra. Isabel Cervera, directora médica y ortodoncista en Madrid, continúa con la tradición familiar que comenzó hace más de 70 años. Estamos deseando ayudarle a recuperar su mejor sonrisa.
Utilizamos brackets de última generación para disminuir la duración del tratamiento y minimizar el daño a los dientes y a las encías, pero sin renunciar a la estética y comodidad. Son brackets de autoligado y transparentes y a diferencia de los brackets estéticos convencionales, los que utilizamos en Clínica Cervera se pueden combinar con brackets metálicos en la zona posterior de la boca cuando el ortodoncista necesita una mayor resistencia mecánica. En resumen, realizamos tratamientos de ortodoncia en menor tiempo, con una mayor eficacia y a un menor coste.



Los alineadores transparentes son aparatos de plástico removibles, fabricado en láminas termoplásticas transparentes, que cubre totalmente las superficies dentarias y aplica fuerzas ligeras y controladas para mover los dientes gradualmente. Cada alineador corresponde a un “paso” de la planificación digital y luego se sustituye por el siguiente de la serie hasta lograr la posición final, se tiene que poner 22h al día. Es prácticamente invisible, permite comer y cepillarse sin aparato. También van acompañados de los ataches, que son unas superficies transparentes que van pegadas en algunos dientes (similar a los brackets). Pero la principal diferencia con la ortodoncia con brackets es que los resultados del tratamiento de ortodoncia dependen de la constancia del paciente para ser eficaz. En Clínica dental Cervera diseñamos el tratamiento, el alineador y los ataches específicos para cada paciente.
Son aparatos que facilitan el desarrollo de la musculatura, el maxilar y la mandíbula de forma natural y armónica. Se emplean entre los 6 y 12 años.


| Categoría | ¿Para qué se usan? | Ventajas | Inconvenientes |
|---|---|---|---|
|
Brackets (fijos, autoligados y transparentes) |
Alineación integral en cualquier edad, control preciso de rotaciones y raíces |
|
|
| Alineadores transparentes (removibles con ataches fijos) | Casos leves-moderados y cada vez más complejos; ideal en adultos que buscan estética y comodidad |
|
|
| Aparatos funcionales (removibles /alineadores/ interceptivos) | Niños/adolescentes en crecimiento: guiar posición mandibular o maxilar, corregir hábitos y facilitar la erupción dentaria |
|
|

La duración de un tratamiento de ortodoncia dependerá de la complejidad de la corrección y no del tipo de aparato que se utilice. Podríamos dividir la complejidad en tres tipos:
Nunca es tarde para comenzar un tratamiento de ortodoncia. En Clínica dental Cervera realizamos tratamientos de Ortodoncia tanto en niños como adultos, somos su clínica de ortodoncia en Madrid.
Es muy importante realizar una revisión ortodóntica con su ortodoncista a todos los niños a partir de los seis años. Esto no significa que sea necesario colocar un aparato en la totalidad de los casos.
Si el desarrollo bucodental del niño es correcto, se programarán visitas cada 6-12 meses para supervisar el proceso eruptivo y de crecimiento bucodental hasta la salida de todos los dientes definitivos. En este momento, se tomará un estudio de ortodoncia para determinar la necesidad o no de realizar tratamiento.
En el caso de que el ortodoncista detecte un trastorno en la mordida, en la salida de los dientes, en la respiración o un hábito que esté impidiendo el correcto desarrollo de la boca (chupeteo de dedo, deglución infantil), habrá que realizar un estudio de ortodoncia y planificar una 1ª fase de tratamiento para resolver el problema. Una vez que hayan salido los dientes definitivos, se realiza un nuevo estudio y, en el caso necesario, se planifica una 2ª fase de ortodoncia para dar la estética final y mordida adecuadas a cada caso.


En el caso de los adultos, debemos tener en cuenta que los aparatos que utilicemos deben interferir lo menos posible en el día a día de los pacientes. Las principales cualidades que caracterizan nuestros aparatos son la estética, la comodidad y la rapidez en el tratamiento. Todo ello hace que nuestros aparatos tengan una gran aceptación entre aquellos pacientes en edad adulta que quieran mejorar su sonrisa y su salud bucodental.


Siempre comenzamos con una primera visita con uno de nuestros ortodoncistas en Madrid, en el que se toma un registro digital de su boca (STL) y se le hace una primera valoración. A continuación, si decide continuar, se le tomaría un estudio de ortodoncia que incluiría:


Nuestros presupuestos de tratamientos de ortodoncia son cerrados, no se tiene que preocupar por gastos adicionales y se pueden financiar cómodamente sin intereses.
Una vez se ha realizado el estudio y aceptado el presupuesto, se comenzaría el tratamiento de ortodoncia que incluiría lo siguiente:
Gracias a los medios de diagnóstico, a los aparatos de ortodoncia exclusivos y al equipo de cirujanos y odontólogos especialistas en prótesis podemos realizar tratamientos de ortodoncia complejos y multidisciplinares.
Algunos de los problemas comunes que pueden necesitar tratamientos complejos de ortodoncia son:
En resumen, los problemas complejos de ortodoncia combinan desequilibrios dentarios, esqueléticos y funcionales. El éxito depende de:
Abordarlos así no solo mejora la oclusión, sino también la función respiratoria, la salud periodontal y la estética facial a largo plazo.
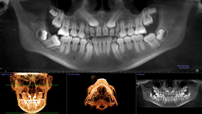
Radiografía 3D con caninos incluidos, retenidos y molar angulado

Radiografía 3D con agenesia de laterales

Pida su cita o más información en Clínica dental Cervera en Cuatro Caminos – Chamberí para resolver cualquier duda que tenga y comenzar su tratamiento con nuestro ortodoncista en Madrid.